Simple control and image viewing through a mobile app,
A sensor with Direct Connection capability
paired with a lightweight, portable X-ray solution for animals.
Provides the user easy to
operate and to exposure with one hand.
Without Backscatter shield installed : 1.6kg
With Backscatter shield installed : 1.8kg
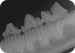
Superior FOCAL SPOT and high power provide clearer images.




Provides an integrated solution through PortView ™,
dedicated software for Genoray I/O Sensor.
You can upgrade your firmware to the
latest version anytime in the Wifi environment.
Rapid imaging with preset values optimized
for the animal's size and examination area.
"This equipment will be available soon"