26cm*26cm Flat Panel Detector provides excellent image quality (Max. 6.8MP) with large FOV(*). * Field Of View

15kW Powerful HFG with rotating tube provides the best image while allowing for longer usage during operation.
User-friendly 10.4" touch screen operation panel enables two-way communication between doctor and operator by using live image.
770mm free space and 150º orbital rotation provides convenient operation environment for operator.

Low Dose Mode is a function that sets and manages the radiation dose automatically and provides the optimized image by the procedure type and site. It guarantees the safety of patients and medical staff who needs to be exposed by radiation dose for a long time during the procedure.
Auto Collimation is a function that reduces the radiation dose after detecting/controlling the outside space of the target area. Virtual Collimation is a function that sets the customized area for reducing unnecessary radiation dose.
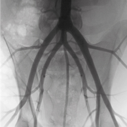
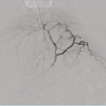
DSA(Digital Subtraction Angiography) helps various clinical diagnosis and procedures through the vessel image information after injecting contrast medium.






ZENIS™ software provides a total solution from operation, image storage, and management.
LEARN MORE
Providing excellent diagnostic images through accumulated experience.












